Many health conditions can affect both the skin and the mucous membranes, the lining inside the mouth, lips, eyes, and other areas. These are known as mucocutaneous diseases.
Some cause redness or white patches, others cause blisters, and many lead to painful mouth ulcers that make eating difficult. Most mucocutaneous diseases cannot be cured, but the symptoms can be controlled with the right treatment plan.
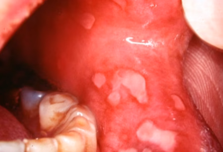
What Do These Conditions Look Like in the Mouth?
Patients may notice:
- Red patches
- White lines or spots
- Blisters (though they often break quickly)
- Painful ulcers
- Burning or sensitivity
- Gum peeling (“desquamative gingivitis”)
If you see these signs, it’s important to be examined by a dentist or specialist, as many mucocutaneous diseases look similar at first glance.
1. Lichen Planus

One of the most common mucocutaneous diseases.
What patients may see:
- White, lacy lines on the cheeks
- White patches on gums or tongue
- Red, thin, or irritated areas
- Occasional painful ulcers
- Skin rashes (purple, itchy bumps)
Is it dangerous?
Usually harmless, though severe cases can cause discomfort. Rarely, long-standing ulcerative areas may undergo changes, so monitoring is important.
Treatment:
- Topical corticosteroid gels or rinses
- Topical antifungal medication if yeast infections occur
- Improved oral hygiene
- Regular monitoring every 6–12 months
2. Erythema Multiforme

A sudden condition often triggered by:
- A recent viral infection (such as cold sores)
- Certain medications
What it looks like:
- “Target-like” red lesions on hands and feet
- Painful mouth ulcers
- Cracked, bleeding lips
- Difficulty eating
- Mild fever or swollen glands
Course of the disease:
Usually lasts about 2 weeks and then heals. Some people experience recurring episodes.
Treatment:
- Supportive care (hydration, pain relief)
- Topical or systemic steroids for severe cases
- Antiviral medication if caused by recurrent cold sores
3. Stevens–Johnson Syndrome (SJS)
A severe and potentially life-threatening form of erythema multiforme.
Symptoms:
- Widespread blistering skin rash
- Severe mouth, eye, and genital ulcers
- Fever and weakness
Treatment:
- Emergency hospital care
- High-dose systemic steroids
- Immediate stopping of the triggering medication
SJS is a medical emergency.
4. Pemphigus Vulgaris

A serious autoimmune disease where the body attacks the glue holding skin and mucosa together.
What patients notice:
- Multiple painful, long-lasting mouth ulcers
- Skin blisters that burst easily
- Difficulty eating, swallowing, or brushing
- Weight loss
- Mouth lining peels when touched (“Nikolsky sign”)
Treatment:
- Systemic steroids (prednisone)
- Strong immunosuppressive medications
- Targeted biologic therapies
- Close medical monitoring
This condition requires coordinated care with dermatology and oral medicine.
5. Bullous Pemphigoid
A blistering disease usually affecting older adults.
Symptoms:
- Large, tense blisters on the skin
- Occasional mouth involvement
- Itching or burning
Treatment:
- Corticosteroids
- Immunosuppressive medications
- Regular follow-up with dermatology
6. Mucous Membrane Pemphigoid

A long-term blistering disorder mainly affecting the mouth and eyes.
What patients may see:
- Red, peeling gums
- Thick-walled blisters
- Painful ulcers
- Eye involvement that may lead to scarring
Why it’s important:
Eye involvement can lead to vision loss if untreated.
Treatment:
- Topical steroids for mild oral disease
- Systemic anti-inflammatory medications
- Systemic steroids or immunosuppressants for moderate or severe cases
- Regular ophthalmology examinations
- Excellent oral hygiene to prevent gum complications
7. Epidermolysis Bullosa
A group of inherited conditions that cause skin and mouth tissues to blister from very minor trauma.
Oral features:
- Blisters from chewing or brushing
- Recurrent painful ulcers
- Scarring in the mouth
- Missing or malformed teeth
Treatment focuses on protection and comfort:
- Avoiding trauma (soft toothbrushes, gentle diet)
- Special precautions during dental treatments
- Nutritional support
- Wound care and blister protection
Severe cases may require care in a specialized clinic.
When Should a Patient See a Dentist or Doctor?
Seek evaluation if you notice:
- Persistent mouth ulcers lasting longer than two weeks
- Painful red or white patches
- Gum peeling
- Blisters inside the mouth
- Widespread skin rash
- Difficulty eating because of mouth pain
Early diagnosis is essential, as many mucocutaneous diseases look similar but require different treatments.
Disclaimer
The contents of this website, such as text, graphics, images, and other material are for informational purposes only and are not intended to be substituted for professional medical advice, diagnosis, or treatment. Nothing on this website constitutes the practice of medicine, law or any other regulated profession.
No two mouths are the same, and each oral situation is unique. As such, it isn’t possible to give comprehensive advice or diagnose oral conditions based on articles alone. The best way to ensure you’re getting the best dental care possible is to visit a dentist in person for an examination and consultation.
SAVE TIME AND MONEY AT ANY DENTIST

Less dental work is healthier for you. Learn what you can do to minimize the cost of dental procedures and avoid the dentist altogether!

